8 年
手机商铺
公司新闻/正文
2662 人阅读发布时间:2020-09-17 13:23
关节炎(CIA)模型的建立以及FLSs细胞的分离和鉴定
一、构建关节炎(CIA)大鼠模型
CIA是用牛II型胶原免疫诱导构建的:选择8周龄雄性Sprague-Dawley大鼠,CIA建立前,采用1%Nembutal(40mg/kg)腹腔注射麻醉大鼠。II型胶原在0.05 mol/L乙酸中溶解至4mg /mL。采用电动均质器,将等量的不完全弗氏佐剂乳化制备胶原蛋白,取0.1 mL乳状液分别于第0天和第7天皮下接种CIA大鼠。
动物成模图片:

二、成纤维样滑膜细胞(FLSs)的分离和鉴定
1、成纤维样滑膜细胞(FLSs)的分离
从CIA大鼠滑膜标本中分离FLSs细胞:实验前采用颈椎脱位方式处死,用胶原酶消化法获得FLSs细胞,用含1%氨苄西林和链霉素的PBS在冰上冲洗滑膜组织5次,然后将滑膜组织切片成1 mm3厚的薄片,置于含有0.2% II型胶原酶的培养皿中,并放置37℃培养箱。整个过程中,每60min收集上清,1200 rpm离心5min,收集细胞颗粒,用培养基悬浮后,完全培养基培养,后经过200目不锈钢过滤器过滤,以1*105/cm2的密度接种在细胞培养瓶中,并在5% CO2、37℃培养箱中继续培养。当达到90%融合时,传代细胞,第2代细胞用于后续实验。

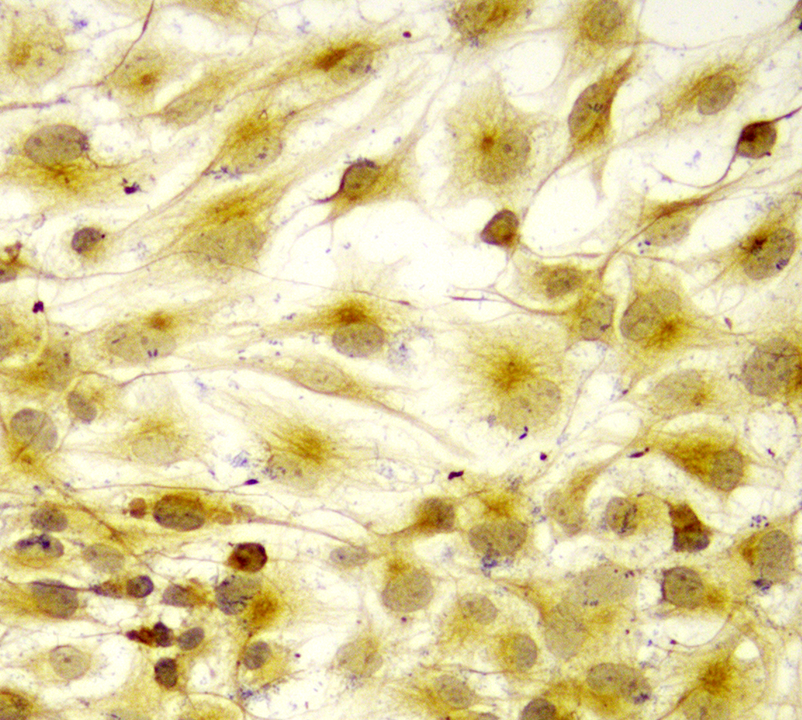
2、成纤维样滑膜细胞(FLSs)的鉴定
用Vimentin(波形蛋白)抗体对分离得到的FLSS细胞进行鉴定,将第2代FLSS细胞接种在细胞培养板中的载玻片上,培养3天后,除去上清液,用4%(CH2O)n固定FLSS 20 min、TritonX渗透20 min、3%H2O2处理15 min,再用5%BSA孵育20 min后,将切片与抗-Vimentin抗体置湿盒中4℃孵育过夜,第二天用PBS 3 min×5次洗去一抗,用滤纸擦去标本外的PBS,滴加生物素化二抗工作液,室温置湿盒中孵育20 min,用PBS 5min×3次洗去二抗,用滤纸擦去标本外的PBS,DAB显色剂显色,自来水充分冲洗后进行苏木素复染,脱水,透明,中性树胶封片。
鉴定结果:

100X 200X 400X