8 年
手机商铺
公司新闻/正文
4932 人阅读发布时间:2021-07-05 09:35
一、背景
炎症性肠炎 (inflammatory bowel disease, IBD) 的病因、发病机制等在研究中尚不明确, 因此大量肠炎动物模型被应用于此项研究, 葡聚糖硫酸钠盐 (Dextran Sulfate Sodium Salt,DSS) 结肠炎 (ulcerative colitis,UC) 模型应用最广
该模型症状表现与人类 UC 极为相似, 主要表现为腹泻、黏液样便、粪便潜血、肉眼血便、重量减轻、活动度减少, 毛色变差等。联合 azoxymethane(AOM)用药, 可用于诱发结肠炎相关性癌症 (colitis associated cancer, CAC) 动物模型, 成功模拟 IBD 诱发 CAC 的过程。
二、实验动物
Balb/c 小鼠, 健康雌性,4 - 6 周体重 18 - 22 g
三、生活环境
25±2°C, 相对湿度 40±10%,12:12 光暗周期, 适应性饲养一周, 并可自由饮水和进食。
四、造模方法
第一天小鼠腹腔注射 10 mg/kg AOM,2 天后饲喂 2%DSS 连续 5 天, 如此一周为一个循环, 至少 6 周才能成模。
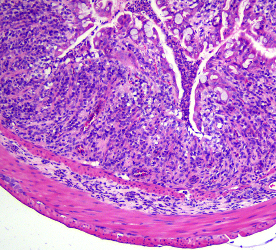
五、实验结果
病理变化结肠明显缩短, 粘膜增厚、淋巴结肿大, 杯状细胞缺失、隐窝缺失, 小部分动物出现腺瘤性息肉、肿瘤样改变.

正常 模型
两种药品参考以下链接:
https://www.sigmaaldrich.com/catalog/search?term = AOM&interface = All_ZH&N = 0&mode = match%20partialmax&lang = zh®ion = CN&focus = product
https://www.sigmaaldrich.com/catalog/product/sigma/ 52423?lang = zh®ion = CN