8 年
手机商铺
公司新闻/正文
3194 人阅读发布时间:2020-06-12 10:51
肝硬化动物模型(cirrhosis model,CM),是科学研究中常用的动物模型,在研究药物毒性及疗效中发挥重要作用。建立一种稳定的肝硬化模型在实验过程中十分关键。
构建肝硬化的模型的方法很多,主要有:
化学性肝硬化(CCL4,硫代乙酞胺TAA,DMN)
酒精性肝硬化
手术性肝硬化
免疫性肝硬化
病毒性肝硬化
本实验室常用的方法是腹腔注射CCL4油溶剂联合酒精构建肝硬化动物模型。
1、准备150-200g雄性SD大鼠,
2、60%CCl4橄榄油溶液以3ml/kg剂量腹腔注射,每周2次;
3、同时配合30%乙醇饮水(前2周10%,3-4周20%,4周后30%)
4、一般8到12周后,模型构建成功,成功率高,死亡率低。
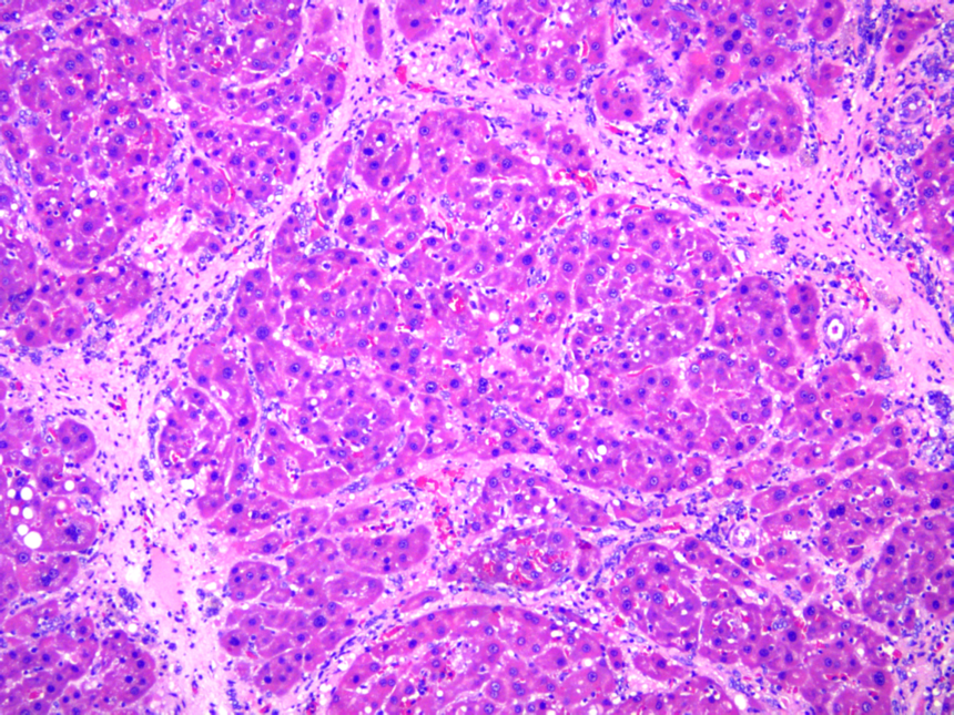
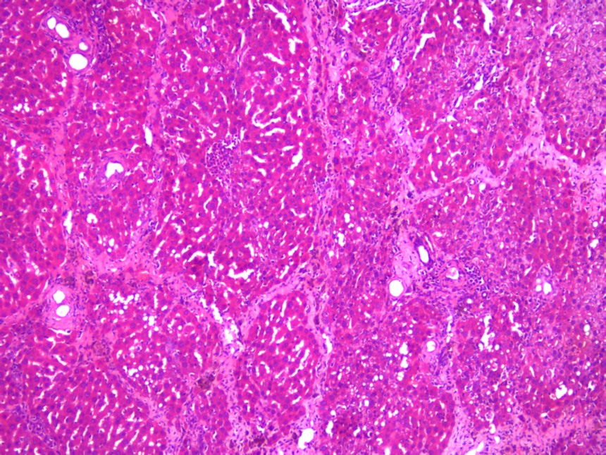
模型成功后,肝脏的病理变化显著:肝细胞破坏明显,相邻的肝脏组织中可见慢性炎细胞浸润;局部或者大部分产生被纤维隔包裹的结节性病变,胆管增生,胆管纤维化。

正常 肝硬化1 肝硬化2

关于MDL
MDL(Medical Discovery Leader)聚焦于医学科学基础研究与转化医学的研究,服务于国内以及国外科研人员,为疾病的诊断、预防、治疗提供研究基础。自有实验室超过6000平米,主营业务范围涵盖模型动物、细胞生物学、分子生物学、蛋白、病理学。经过10余年的发展,我们与国内超过百余家的研究机构上千名研究人员共同完成了12000+的实验项目。