8 年
手机商铺
公司新闻/正文
5025 人阅读发布时间:2023-08-30 17:01
切片可见大量新生毛细血管和成纤维细胞,伴数量不等的炎细胞浸润。新生薄壁的毛细血管管腔扩张,由单层内皮细胞组成,内皮细胞核体积较大,呈椭圆形,向腔内突出。
毛细血管周围组织疏松水肿,有许多增生的成纤维细胞,体积较大,形态多样,呈椭圆形或梭形,胞浆丰富淡红染。还可见多少不等的中性粒细胞、淋巴细胞浸润。


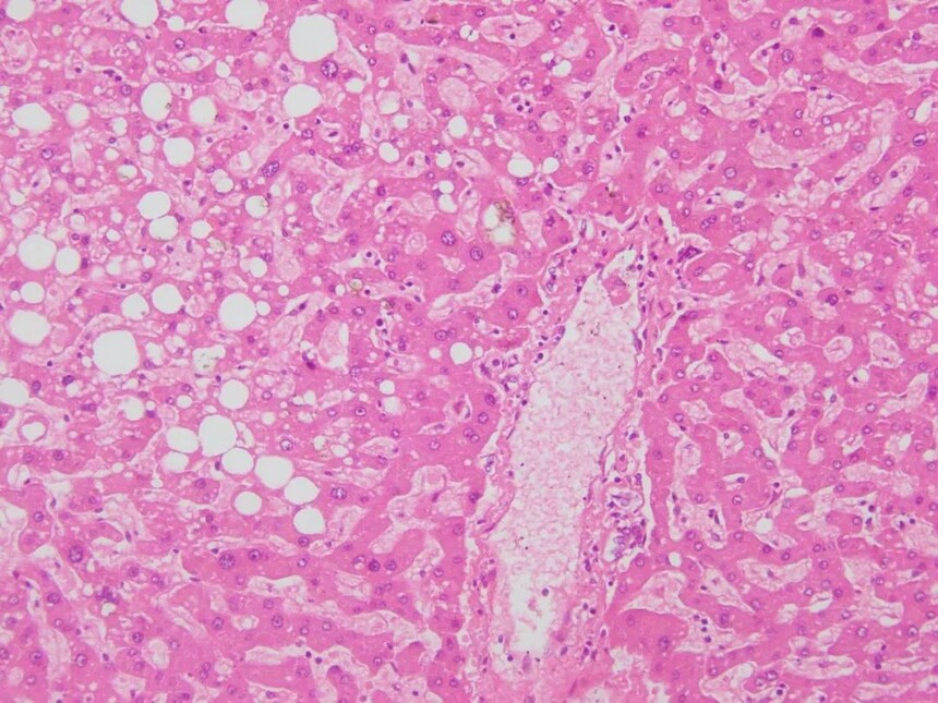
2、肝细胞脂肪变性
肝组织切片可见肝小叶结构存在,可见肝小叶中央静脉和汇管区,肝细胞胞浆内含有大小不等的脂肪空泡,可单个或多个,并可融合成大空泡,细胞核被挤到细胞一边,酷似脂肪细胞。


3、急性肺水肿
肺泡壁毛细血管扩张充血,肺泡腔内含水肿液。


4、慢性肺淤血
肺组织切片可见肺泡间隔明显增宽,肺泡壁毛细血管普遍扩张充血。其横断面镜下可见多个红细胞;大多数肺泡腔内充满粉红色液体(水肿液)和少量红细胞,并可见少量气体空泡。


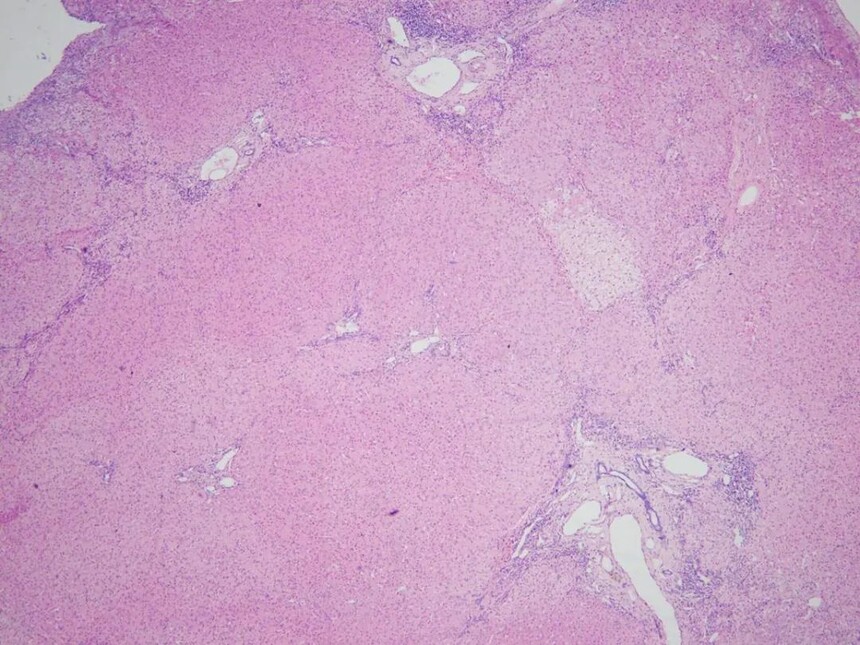
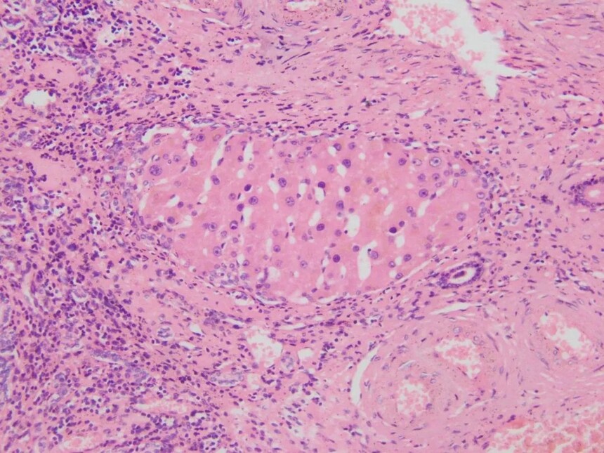
5、慢性肝淤血
中央静脉及周围肝静脉窦扩张充血。小叶中央部肝细胞萎缩消失。相邻小叶中央的淤血区通过淤血带相连。小叶周边部肝细胞有脂肪变性。


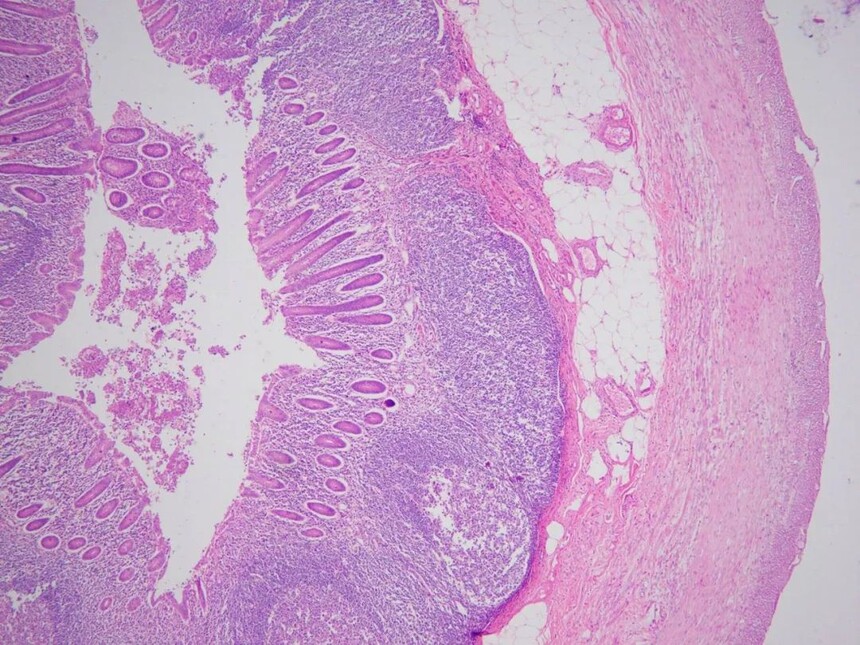
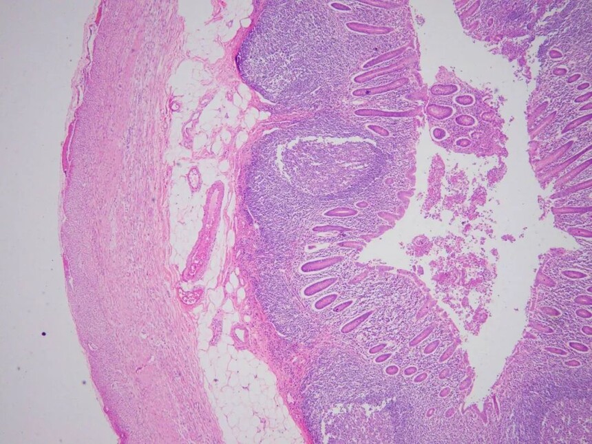
6、急性蜂窝织性阑尾炎
阑尾横断面组织切片局部放大,可见黏膜层、粘膜下层、肌层及将膜层内。血管充血水肿,阑尾壁全层有大量中性粒细胞弥漫性浸润。部分区域黏膜上皮细胞坏死脱落。


7、鼻息肉
表面被覆假复层纤毛柱状上皮上皮下结缔组织高度水肿,可见增生的腺体、毛细血管、纤维组织和大量浸润的炎细胞。浸润的炎细胞主要是浆细胞,嗜酸性粒细胞及淋巴细胞。


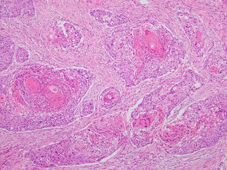
8、食管高分化鳞形细胞癌
癌组织呈条索状或巢状、片块状分布。癌细胞异型性大。部分癌巢中心有角化珠。


9、风湿性心肌炎
心肌组织切片可见心肌间质水肿,伴炎症细胞浸润,在心肌间质小血管旁可见梭形或不规则形风湿小体,风湿小体中心有红染无结构的纤维素样坏死物,周围是体积肥大、胞浆丰富、略嗜碱性、核圆形或卵圆形的风湿细胞,风湿小体周围有少量单核细胞、淋巴细胞和浆细胞浸润。风湿细胞核的染色质聚集在中央城毛虫状或枭眼状。


10、风湿性心外膜炎
切片可见心包明显增厚,心外膜表面有红染的纤维素性渗出物附着。纤维素渗出物排列成条索状、丝网状或片块状,肉芽组织增生机化纤维素样渗出物,伴炎症细胞浸润,心肌间质水肿,血管扩张充血。


11、冠状动脉粥样硬化
冠状动脉横切面见内膜局部呈半月形增厚凸向管腔使管腔呈偏心性狭窄,表面为纤维帽,深层为粥样坏死物中膜平滑肌萎缩变薄。
管腔内可见血栓形成,高倍镜下病变和主动脉。粥样硬化相似半月形增厚处为粥样斑块,表层中纤维组织增生,部分呈玻璃样变,其下为淡红色无定形物,其中可见较多针形或柳叶形的胆固醇结晶。


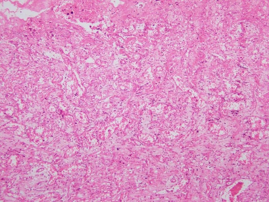
12、大叶性肺炎
红色肝样变期:肺泡间隔内毛细血管处于扩张充血状态。肺泡腔内充满纤维素及大量红细胞,其间夹杂少量中性粒细胞和巨噬细胞。
其中纤维素连接成网,并穿过肺泡间孔与相邻肺泡内的纤维素网相连。

灰色肝样变期:肺组织切片可见肺基本结构存在,肺泡腔扩张明显,其内充满红染的纤维素、红细胞和水肿液,纤维素网眼中有大量中性粒细胞和少量巨噬细胞;部分肺泡间隔受压变窄,其内的毛细血管呈相对贫血状态。
13、病毒性肝炎
肝细胞明显肿大,胞质疏松,呈网状、半透明。嗜酸性变;脂肪变性;肝细胞出现溶解性坏死;淋巴细胞和单核细胞浸润;纤维化。


14、门脉性肝硬化
肝切片可见肝小叶被增生的纤维组织分割成大小不等的圆形或类圆形肝细胞结节(假小叶);假小叶周边包绕较多增生的纤维组织,并伴有大量淋巴细胞浸润和小胆管增生。假小叶内再生的肝细胞所无放射状结构,排列紊乱,肝细胞水变性或脂肪变性、伴坏死;中央静脉偏位、缺如或两个以上,部分假小叶内有汇管区。


15、肝细胞性肝癌
癌细胞类似肝细胞,呈多角形,胞浆丰富、嗜酸性、核大深染。排列条状,或线腔样。分化较低者癌细胞核大小不等,形状不一、深染。可见核分裂及多核瘤巨细胞。癌组织周围可见肝硬化改变。

16、急性弥漫性增生性肾小球肾炎
肾小球肿大,肾小球内细胞明显增生,表现为细胞核数目显著增多。其中主要为毛细血管内皮细胞及血管系膜细胞增生,并有少量中性粒细胞浸润。
肾小囊内可见血浆蛋白渗出。肾近曲小管上皮细胞肿胀,肾小管管腔内可见各种管型。肾间质中可见充血、水肿及淋巴细胞、中性粒细胞浸润。


17、新月体型肾小球肾炎
肾组织切片中可见大多数肾小球囊壁上皮细胞高度增生,形成新月体或环状体,球囊腔变窄或闭塞。部分肾小球毛细血管球与增生的新月体相互粘连。少数肾小球纤维化玻璃样变,相应的肾小管萎缩消失。间质血管充血、水肿,有少量淋巴细胞浸润。


18、淋巴结结核
淋巴结中可见散在分布的结核结节。
