8 年
手机商铺
公司新闻/正文
4518 人阅读发布时间:2020-06-18 14:16
创伤性脑损伤(TBI)是指由于外部机械力的作用导致大脑的损伤,临床发病率逐年上升。为了更好的研究这些问题的发病机制,了解路脑外伤病理生理过程,并制定出新的治疗方法,建立良好的动物模型显得至关重要。本实验室采用的Feeney落体打击模型进行造模,造模前需要手术暴露完整的硬脑膜,落体打击作用于完整的硬脑膜,造成皮质挫伤,损伤的严重程度通过改变落体重量和高度来调节。
按自制改良的Feeney’s自由落体方法制作大鼠重型颅脑损伤模型。
【Feeney’s自由落体方法:由脑立体定位仪、固定架、带孔的光滑不锈钢导管、下落砝码、T型撞杆、挡片组成,使用时挡片插入一定高度的不锈钢导管内,放入砝码,T型撞杆置于硬脑膜上,迅速拔出当挡片砝码以自由落体的速度撞击T型撞杆,后者直接打击硬脑膜,造成颅脑损伤模型。】
需要用到的仪器和设备如下图:

止血钳、镊子、缝合针线

脑立体定位仪、砝码

碘伏、剃毛刀、颅骨钻
选用250-300g雄性SD大鼠,造模前禁食8-12h;大鼠经称重,用10%水合氯醛麻醉(0.3ml/100g)。用剃毛刀理去大鼠头顶的毛发,进行备皮,碘伏常规消毒后,于矢状正中切开头皮,长约3-4cm。

剥开软组织,剥离骨外膜,暴露左侧顶骨,在冠状缝后3mm,中线旁左侧2.5mm处(此定位可进行调节),用高速颅骨钻钻1个小孔,并扩大为直径5mm的骨窗,暴露蛛网膜并保持硬脑膜完整。

将T型撞杆置于硬脑膜外,此时不放砝码,向上调节撞针2-3mm,使得用40g 砝码从20cm高处沿导管呈自由落体冲击于T型撞杆时(将挡片突然抽出),可以使得压缩深度是2-3mm,不打穿硬脑膜,造成局部脑挫裂伤,致使冲击力为800g/cm(40g×20cm),打击后,立即从致伤位置解除,以免二次击伤。

逐层缝合头皮,用止血钳夹一下缝合的伤口,酒精棉球擦拭,取下耳杆、大鼠,肌肉注射青霉素抗感染,把动物放回饲养笼内,术后注意保温。

造模成功后,对脑部进行剖检,可见明显得损伤

正常 击打模型
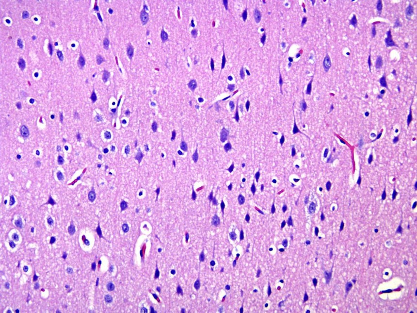
对脑组织进行病理分析,模型组得大脑皮层有明显得神经元损伤,排列不规则,水肿严重

正常 击打模型
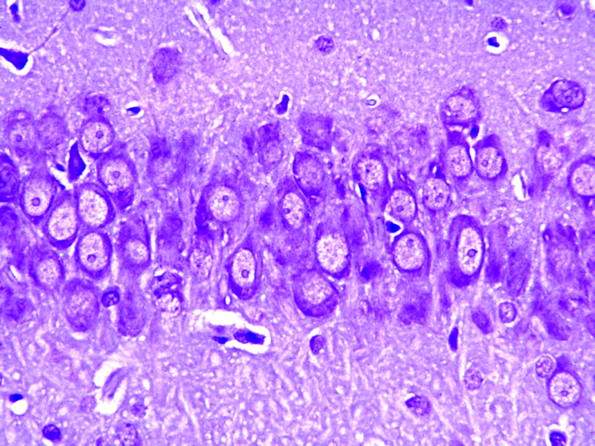
对脑组织神经元进行尼氏染色,模型组尼氏小体数量明显减少,神经元排列紊乱

正常 击打模型