8 年
手机商铺
公司新闻/正文
3272 人阅读发布时间:2021-07-05 09:41
慢性阻塞性肺疾病 (chronic obstructive pulmonary disease,COPD)是一种慢性气道炎性病变,以持续气流受限为特征。据预测,COPD 将在 2020 年成为全球主要死亡原因第三位及世界疾病经济负担第五位。因此越来越多的学者致力于构建稳定的、与人类病理生理变化类似的动物模型。下面我介绍一种实验室比较成熟的模型构建方法。
造模方法:
选用 180-200g 雄性 SD 大鼠,将每只造模大鼠于第 1、14、28、42 天 用 1 mL 注射器直接向气管内注入脂多糖 (LPS) 200 μg/200 μL。将实验动物置于的自制烟室中进行被动吸烟, 用 8 支香烟点燃烟熏, 每次熏烟 30 min, 每日 2 次。连续进行烟熏 2 个月,能得到比较成功的 COPD 模型。
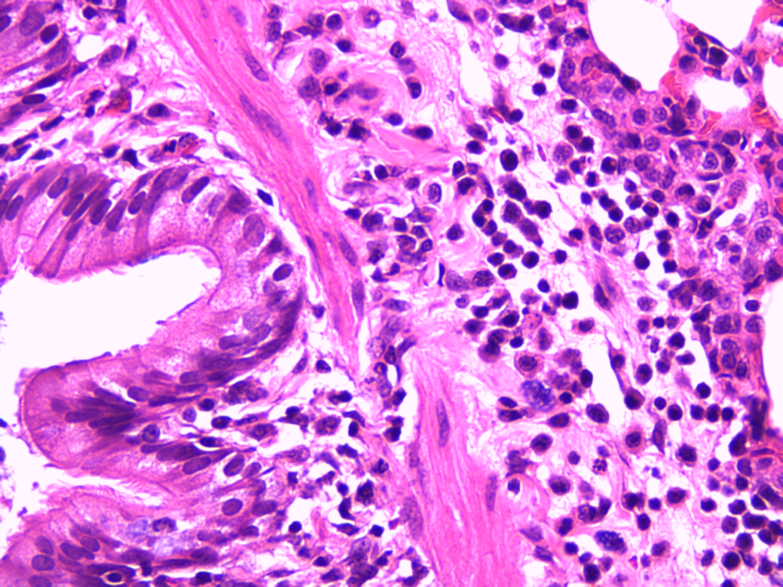
病理变化:
模型组肺泡壁增厚破解,内皮细胞病变脱落,肺泡形态不规则;气管壁增厚,有大量炎性细胞浸润。

正常 COPD模型
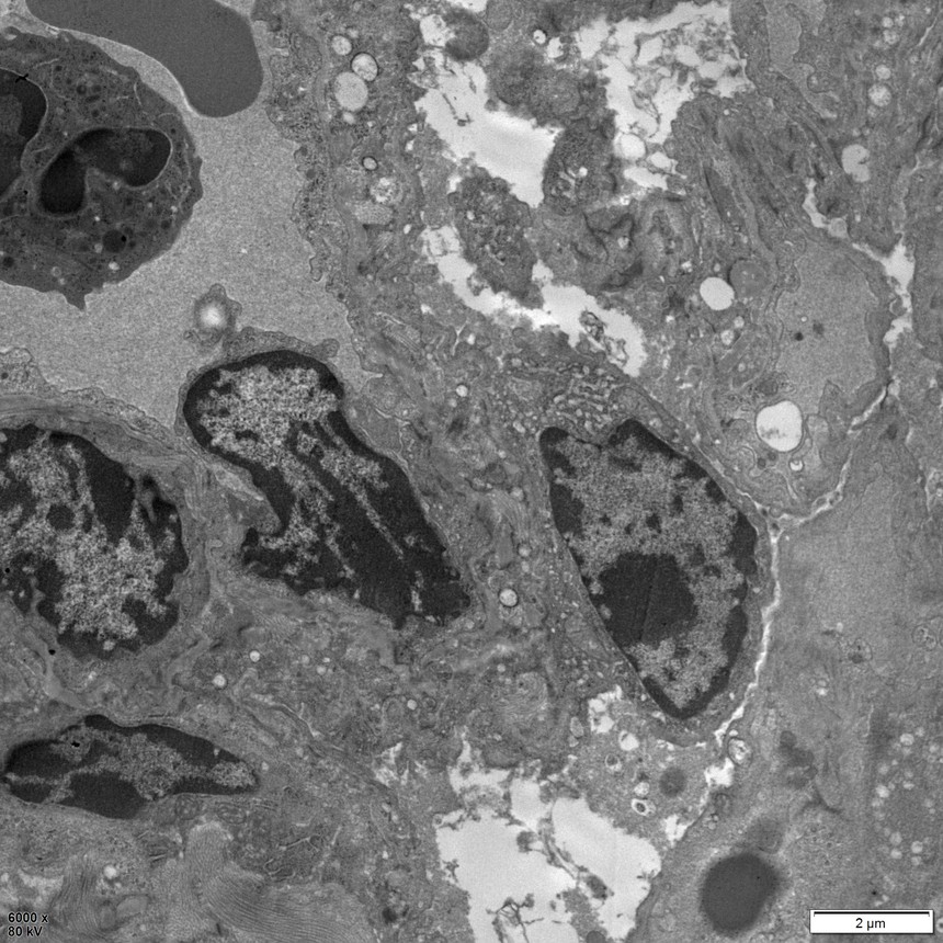
超微结构变化:
正常组:未见明显肺泡腔,实性变,细胞连接紧密,未见明显绒毛脱落和坏死;细胞核不规则,线粒体、内质网均清晰可见,少量线粒体空泡变;板层小体未见。

模型组:肺泡间隔增宽,细胞连接松懈;毛细血管内充血;上皮细胞有绒毛的脱落和坏死;细胞核均出现不同程度的核形不规则,线粒体数量变化不明显,可见线粒体肿胀,部分线粒体嵴消失,呈空泡状;可见溶酶体;可见板层小体排空。

关于 MDL
MDL(Medical Discovery Leader)聚焦于医学科学基础研究与转化医学的研究,服务于国内以及国外科研人员,为疾病的诊断、预防、治疗提供研究基础。自有实验室超过 6000 平米,主营业务范围涵盖模型动物、细胞生物学、分子生物学、蛋白、病理学。经过 10 余年的发展,我们与国内超过百余家的研究机构上千名研究人员共同完成了 12000+ 的实验项目。