8 年
手机商铺
公司新闻/正文
2728 人阅读发布时间:2020-05-25 14:31
骨关节炎(osteoarthritis,OA)是一种由多种因素相互作用导致的骨病,以滑膜、软骨损伤为主。但由于骨关节炎病因尚不明确,需要动物模型来研究和预防该疾病,下面介绍一种制作简单方便,成模率100%的建模方法。
取氢氧化铝20毫克加1ml的完全佐剂,充分融合后备用。
取250到300g的SD雄性大鼠,用10%的水合氯醛麻醉,麻醉剂量300ul/100g.
大鼠麻醉后用1ml的注射器吸取200UL的溶液,大鼠左右两足底皮下各注射100ul的溶液,拔出针后用棉签压一下防止溶液流出。
单次注射给药,之后的时间就是进行观察,一般来说建模1周后就有很明显的病变,可以用于实验的检测。

正常大鼠,未建模,骨关节正常

建模1周后,关节明显肿胀,动物活动受限

建模2周后,关节进一步肿胀,动物疼痛,影响行走活动
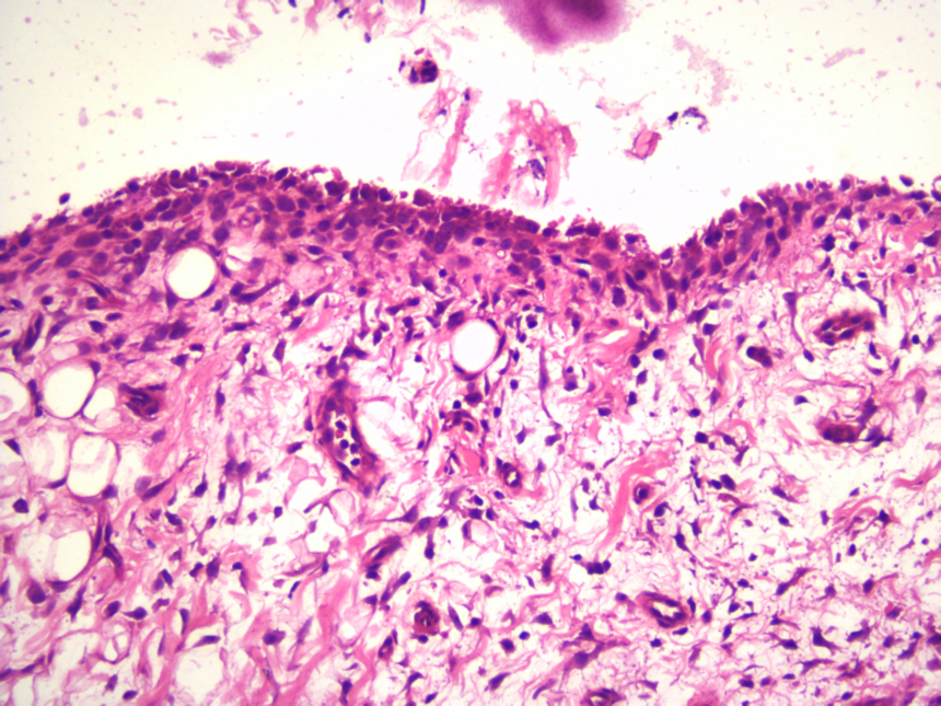
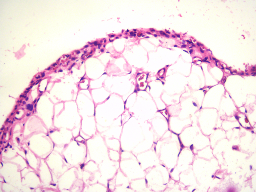
病理观察骨关节处的滑膜组织,模型组绒毛上皮细胞增生,立方上皮细胞增生,滑膜细胞增多,血管也随之增生,并且可见大量炎性细胞聚集(左图正常,右图模型)

正常 模型
关于MDL
MDL(Medical Discovery Leader)聚焦于医学科学基础研究与转化医学的研究,服务于国内以及国外科研人员,为疾病的诊断、预防、治疗提供研究基础。自有实验室超过6000平米,主营业务范围涵盖模型动物、细胞生物学、分子生物学、蛋白、病理学。经过10余年的发展,我们与国内超过百余家的研究机构上千名研究人员共同完成了12000+的实验项目。